tlf: 98 62 29 90
Online booking
Forside
Om os
Nyheder
Ny patient?
Vi Tilbyder
Priser
Kontakt
Forside
Om os
Nyheder
Ny patient?
Vi Tilbyder
Fyldninger
Rodbehandling
Implantat
Kroner/broer
Usynlige revner
Parodontose
Proteser
Blegning
Tandlægeskræk?
Akut tandpine
Snorkeskinne
Tandregulering med skinner
Rekonstruktion af bid
Priser
Kontakt
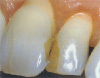
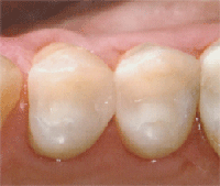
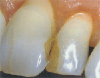
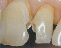
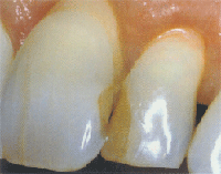
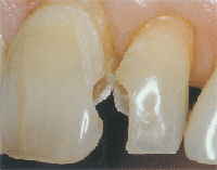
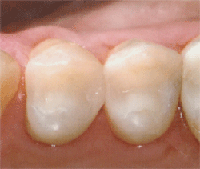
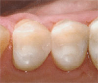
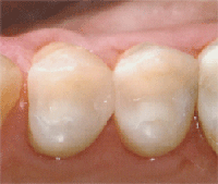
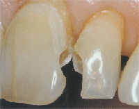
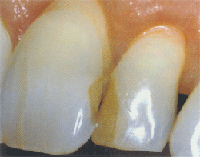
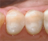
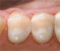
Fyldninger
Vi tilbyder både sølv- og plastfyldninger.
Sølvfyldning
Udskiftning af sølvfyldning til Plastfyldninger
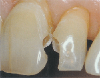
Udskiftning af fortandsfyldninger og plasthjørner